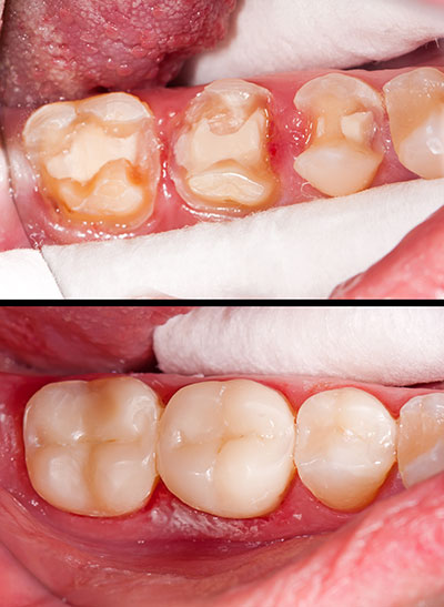
Con avances en los materiales y la ciencia dental, los materiales restaurativos que son agradables estéticamente como también fuertes y duraderos están disponibles extensamente para los rellenos y las reparaciones de dientes que han sido afectados por el deterioro dental o las lesiones dentales. Por favor sea consciente que no usamos rellenos de amalgama o rellenos “plateados” en nuestra oficina.
Los rellenos de compuestos, comúnmente referidos a “rellenos del color del diente” o “rellenos blancos,” son una combinación de resinas biocompatibles y materiales para rellenos molidos finamente y con una apariencia al vidrio. Los rellenos de compuestos, los cuales son fabricados en una variedad de tonos con apariencias naturales, proveen una alternativa que es más agradable cosmeticamente comparado a los rellenos tradicionales de “plata.” Los compuestos dentales frecuentemente usados para rellenar un diente reemplazando la estructura del diente que esté faltando debido a una lesión o el deterioro, también pueden ser colocados para modificar el color o la forma de un diente, para mejorar dramáticamente su apariencia así como para reparar defectos dentales y cerrar espacios entre los dientes.
Los sistemas de compuestos usados por los dentistas de hoy integran la calidad más alta de partículas microrellenadoras y materiales de resina para producir restauraciones que pueden soportar la fuerza generada por todas las maneras de las funciones orales, mientras logran resultados naturales y duraderos. Las restauraciones de compuestos son pegadas a la estructura del diente por un proceso de adhesión, que también sirve para sellar y fortalecer el diente. Ya sea que la restauración de compuestos sea colocada y “sellada” o “curada”, el dentista puede ajustar su forma y pulir el relleno para optimizar la comodidad del paciente. Esto también ayuda a prevenir que la restauración se manche y ayuda a evitar el desgaste prematuro. Además de proveer una combinación agradable al color de su diente natural, una restauración de compuestos tiene otras ventajas sobre las otras clases de restauraciones. Los rellenos de compuestos no requieren la eliminación de mucha estructura dental para facilitar ponerlos, ni son susceptibles a expandirse o contraerse con cambios en la temperatura como es el caso de la amalgama dental. Sin embargo, la única desventaja es que las restauraciones compuestas pueden ser más vulnerables a desgastarse y mancharse con el tiempo y pueden requerir un reemplazo más adelante.
Go Back
© Elmhurst Dental. All Rights Reserved. | Accessibility Policy
Last Updated: February 3rd, 2022 11:07 AM