Skip Menu
Continue
  • 79-11 41st Avenue,
  • #A107,
  • Elmhurst, NY 11373
  • Página Principal
  • Sobre Nosotros
    • Nuestra Oficina
    • Pacientes Nuevos
    • Testimonios
  • Nuestros Doctores
    • Ariel Bales-Kogan, DMD - Ortodoncista
    • Nora Nakshabendi, DMD - Odontopediatra
    • Lizette Castillo, DDS - Dentista General
    • Christine Kim, DDS - Odontopediatra
  • Servicios
      • Ortodoncia
      • Ortodoncia para Adultos
      • Coronas para Niños
      • Sellantes Dentales
      • Tratamiento de Emergencia
      • Extracciones
      • Tratamiento de Flúor
      • Programa Preventivo
      • Pulpotomía
      • Mantenedores de Espacio
      • Beneficios de SDF
      • Rellenos Dentales
      • Blanqueamiento Dental
      • Alineadores Transparentes para Adultos
      • Coronas de Cerámica
      • Puentes Dentales
      • Carillas de Porcelana
      • Dentadura
      • iTero® Escáner Intraoral
    • View All
  • Preguntas Frequentes
  • Salud Dental
  • Contacto
    • Contáctenos
    • Solicitar Una Cita
  • Inicio de Sesión para Pacientes
  • English

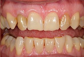
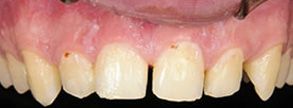
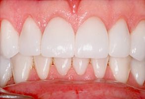
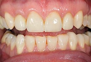
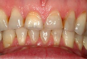
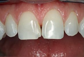
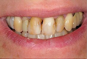
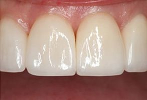
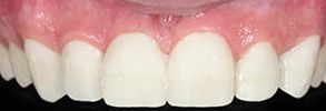
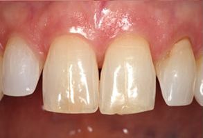
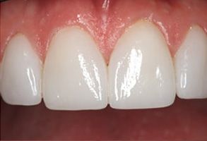
Smile Gallery

Información Adicional

Esta Ubicación

79-11 41st Avenue
#A107
Elmhurst, NY 11373
(718) 205-2888

Follow Us